Журнал «Компьютерра» N 30 от 22 августа 2006 года, стр. 9
Однако что удивительного в том, что наши органы чувств несут на себе отпечаток нашей предыстории? Казалось бы, высокоразвитая психика современного человека способна исправить искажения, вызванные их работой. Увы, исследование доктора Кевина Лафферти (Kevin D. Lafferty) из другого подразделения Калифорнийского университета (в Санта-Барбаре) заставляет усомниться и в этом.
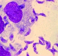
Чтобы пересказать основной вывод недавней статьи Лафферти в Proceedings of the Royal Society, Biological Sciences, надо изложить некоторые хорошо известные факты. Паразитологам давно известен паразит кошек Toxoplasma gondii. Это простейшее, дальний родственник малярийного плазмодия, относящийся, как и он, к типу Апикомплексные. Сложный жизненный цикл токсоплазмы включает паразитирование на крысах (промежуточном хозяине). Чтобы промежуточный хозяин вернее попал в зубы к окончательному (кошке, лишь в ее организме происходит половой цикл развития токсоплазм), паразит меняет поведение крыс. Те теряют осторожность, легко заходят на помеченную кошками территорию и становятся их добычей.

Опасность токсоплазмозов для человека раньше связывали лишь с заражением во время беременности. Если, пообщавшись с кошечкой, женщина впервые заражается этим паразитом во время беременности, тот передается через плаценту плоду и может вызывать слепоту, гидроцефалию или обызвествления в мозгу. Считалось, что кроме этих эксцессов, токсоплазмозы протекают у человека практически бессимптомно, но было известно, что ими заражена значительная часть населения планеты (примерно 40%). Источником заражения являются фекалии кошек, которые ели крыс, или непрожаренное мясо животных, контактировавших с этими фекалиями.
То, что развитие токсоплазмы подавляется лекарствами от шизофрении, давало основание подозревать вклад паразита в этиологию данного заболевания. Некоторые данные указывали, что паразит может влиять на психику не только крыс, но и людей. В конце концов, мозг человека и мозг крысы достаточно схожи и управляются одними и теми же нейромедиаторами. Хотя находящемуся в нашем мозгу паразиту тяжело будет добиться того, чтоб человека съела кошка, он в принципе способен как-то повлиять на поведение носителя, изменив биохимию его мозга.
Из-за особенностей климата и культуры токсоплазмоз распространен неравномерно. Им поражено всего около 7% жителей Англии и Японии против 80% населения Бразилии (благоприятный для паразита климат) и Франции (там любят мясо с кровью). В США зараженность колеблется для разных штатов от 18 до 29%. Лафферти (он, кстати, сам родом из засушливой Калифорнии, где токсоплазмоз редок) собрал и обработал имеющиеся данные о связи токсоплазмоза с особенностями личности (по крупицам разбросанные во многих исследованиях). Например, считается, что риск разбить свой автомобиль почти в три раза выше у носителей токсоплазм, чем у людей, свободных от этих паразитов. Кроме того, Лафферти исследовал связь между распространенностью антител к токсоплазмам у беременных женщин и данными о психиатрических отклонениях и культурных особенностях разных народов. В итоге исследователь обнаружил корреляцию между степенью зараженности разных народов токсоплазмами и распространением невротических элементов в культуре.

По данным Лафферти, паразит усиливает у человека ощущение беспокойства, неуверенности, депрессии и вины. Какой характер примет аномалия, определяется культурным контекстом. Мы можем предположить, что комплекс вины может проявиться через переживание первородного греха Адама и Евы, ощущение личной греховности или невротические реакции на какие-то события индивидуальной истории. Интересно, что паразит по-разному действует на мужчин и женщин, усиливая гендерную дифференциацию в обществе. Женщины от действия токсоплазм становятся более интеллектуальными и сознательными, участливыми и склонными к морализаторству; они заводят больше подруг, делают много покупок. Для мужчин же характерна тенденция к ослаблению интеллекта, догматичности, эмоциональной изменчивости, ревности. При этом обоим полам становится труднее сосредоточиться на решении какой-то задачи.
Как всякий американец, Лафферти обязан быть политкорректным. Он приходит к выводу, что поскольку воздействие токсоплазм дополняет культурное разнообразие, оно может быть позитивным. Франция была бы без него менее французской, а Бразилия - менее бразильской.
Оценивая работу Лафферти, не следует забывать, что его доказательства носят в основном косвенный характер. В любом случае, кроме паразитов, процессы в психике современного человека сдвигает и множество других факторов (например, действие алкоголя, никотина, кофеина, искусственного освещения, избыточной плотности населения и прочая, и прочая). Кстати, мы не можем быть уверены в том, что токсоплазмоз - неестественное состояние человека. Коли на то пошло, африканских приматов ели не только змеи, но и кошачьи: и сохранившиеся сейчас львы с леопардами, и вымершие саблезубые кошки. Какая доля человеческого населения была заражена токсоплазмами, могли ли эти паразиты влиять на поведение людей благоприятным для себя образом - пока сказать трудно. Подождем критики выводов Лафферти и поступления новых данных.
Впрочем, уже сейчас можно предположить, что если кто-то возжелает основать Церковь Вины и Раскаяния, в ней следует обязательно предусмотреть причастие с токсоплазмами.
Terralab.ru: Железный поток
Автор: Сергей Озеров

Экран: 7”/8”
Воспроизведение: DVD±R/RW и CD
Поддержка карт памяти: SD/MMC
Поддерживаемые стандарты: MPEG-1/2/4, DivX, JPEG, MP3
Дополнительно: ТВ-тюнер стандарта DVB-T, автомобильный адаптер питания
Цифровое телевидение DVB-T, претендующее на роль стандарта будущего, в России фактически встречается только в Москве, Питере, Нижнем Новгороде и Владивостоке. Так что возможность приема соответствующих телепрограмм приходится считать лишь перспективной «фичей» этих новых всеядных портативных DVD-плейеров.

Стандарт: небуферизованная DDR2-800
Объем: 2x512 или 2x1024 Мбайт комплектом
Гарантированный разгон: DDR2-1000
Тайминги: 4-4-4-4 @ 800, 5-5-5-5 @ 1000
Рабочее напряжение: 2,2 В
Поддержка nVidia EPP, пожизненная гарантия
Настройка таймингов и частот для модулей памяти - дело непростое и утомительное, а потому на модулях SDRAM давным-давно распаивается крошечная микросхемка SPD, которая сообщает чипсету информацию, позволяющую выставить параметры автоматически. Однако в SPD записываются только «стандартные» спецификации, соответствующие утвержденным JEDEC образцам, а нестандартные «оверклокерские» модули, дабы «выжать» из них все возможное, до сих пор приходилось настраивать вручную. Но благодаря усилиям nVidia и некоторых производителей памяти, продвигающих расширение SPD - Enhanced Performance Profiles (EPP), вероятно, это положение вскоре изменится. Правда, воспользоваться преимуществами быстрого переключения модулей памяти «в режим разгона» (например, выбрать режим сниженных таймингов на стандартной частоте или режим повышенной тактовой частоты) поначалу можно будет лишь на чипсетах nForce 5xx.

Сенсор: 23,6x15,8 мм CCD (формат DX, кроп 1,5x)