Происхождение личности и интеллекта человека. Опыт обобщения данных классической нейрофизиологии, стр. 28
Литературно это блистательно, но для нас важнее его строгое и взвешенное заявление о тех участках мозга, что располагаются кпереди от центральной извилины.
В следующей главе я позволю себе высказать предположение о том, что же могло так смутить Ивана Петровича, что он, по сути, отказался от результатов своих экспериментов на лобных долях.
Сам Павлов (подчеркиваю) этого не конкретизировал. Но дал возможность это понять.
Caput IV
Экстирпация. Травмогенность удаления фрагментов коры. Поражение подлежащих структур. Мистичность аргументов. Уродливые факты. Схема Кронлейна и Тейлора. Диктат черепа. Искусственные изменения формы черепа: долихокефалы, скафоцефалы et cetera.
Следует учитывать, что, описывая последствия «удаления лобных долей коры», мы никак не можем сбрасывать со счетов ту запредельно травмогенную суть процедуры, которая неизбежна при экстирпации (топэктомии).
Наиболее откровенное и подробное описание этого действа мы можем найти в диссертации Э. Н. Иванова «О центрах мозговой коры и подкорковых узлов для движения голосовых связок и для обнаружения голоса» (ИЭМ № 10744, 1899):
«Для производства трепанации собака привязывалась к доске животом вниз с вытянутой шеей, при этом морда ее привязывалась к верхушке металлического стержня доски так, чтобы голова и шея не лежали на доске, а были бы на весу – приподняты, иногда для этой цели под голову подкладывалась колодка. Когда собаку растянули таким образом, приступали к самой операции, выбривши, предварительно, шерсть на голове. Делался продольный кожный разрез на черепе, кожа отсепаровывалась, иногда большие лоскуты ее привязывались нитками, чтобы не мешали при дальнейшем ходе операции и при исследовании; далее, височные мышцы удалялись или целиком, или только часть их. Для удаления височных мышц ранятся довольно крупные артерии, поэтому приходится их зажимать торсионными пинцетами. Затем большею частью брался средней величины трепан – 2–2,5 см в диаметре, и производилась трепанация черепа обыкновенно над двигательною областью мозговой коры на той или на другой стороне, но чаще на обеих сторонах. В тех случаях, когда нужно было открыть большую поверхность мозга, трепанационное отверстие расширялось выламливанием костей черепа костными щипцами» (С. 80–81).
Но помимо простой травмогенности есть и еще одно крайне неприятное и ключевое обстоятельство, которого не мог не понять Иван Павлов, но об этом чуть позже.
Вслед за описанными Э. Ивановым процедурами следует прободение и вскрытие твердой мозговой оболочки и ее удаление.
Подлежащие под твердой оболочкой арахноидная и мягкая мозговые оболочки также должны быть удалены, что уже гораздо сложнее, так как pia mater не сферично настилается на кору, а в точности следует ее рельефу, глубоко заходя во все борозды меж плотно прилегающими друг к другу извилинами.
Удаление pia mater с сохранением всей сосудистой сеточки – сверхвиртуозная операция. Неудаление мягкой оболочки затрудняет всю процедуру, так как богатство пронизывающих ее сосудов обеспечит закровавленность операционного поля, а с учетом сложнейшего рельефа – бесконтрольное спускание кровяных масс книзу по бороздам, которое в результате даст скопление крови в pars orbitalis, гарантированный сепсис и быструю бессмысленную смерть.
(Как показывает опыт, при экстирпации вакуумные аспираторы не справляются, учитывая, что мозг пропускает через себя до 25 % минутного объема всей крови организма) (Василевский Н., Науменко А. Скорость мозгового кровотока и движение цереброспинальной жидкости, 1959). По другим данным (применительно строго к человеку) «в 1 минуту через мозг человека протекает 740 мл крови» (Potter J. Redistribution of Blood to the Brain due to Localized Cerebral Spasm // Brain, 1959. Vol. 82). С цифрой Поттера согласен и академик И. Стрельников в своем труде «Анатомо-физиологические основы видообразования позвоночных» (1970). Нетрудно заметить, что данные Стрельниковаи Поттера конфликтуют с традиционной цифрой 25 %, но с учетом того, что общая длина кровеносной системы в мозгу млекопитающих находится в пределах 500–560 км (Блинков С., Глезер И. Мозг человека в цифрах и таблицах, 1964), то, вероятно, и та и другая конфликтующие точки зрения имеют некоторые основания для своих выкладок.
Secundum naturam, здесь я описываю лишь малую часть подробностей и нюансов подготовки. Вне зависимости от того, как именно она производится, какова стилистика скальпирования, трепанирования, пропилов черепа, выемки оболочек и костного лоскута, обескровливания и ирригации, по своим физиологическим следствиям операция сама по себе является жесточайшей по степени шоковости. Трудно даже подсчитать, сколько лабораторных собак и других животных погибло во имя торжества «лобной теории», но красота, как известно, требует жертв. Особенно, красота гипотезы.
Но это, repeto, еще floriculi.
Сама экстирпация, или топэктомия, делается следующим образом: заточенная десертная ложка подводится в разделяющую извилины борозду (в данном случае это «роландова» – центральная борозда), и затем начинается медленное, кусочково-ленточное срезание участков коры головного мозга кпереди и вниз, по возможности следующее неравнотолстости извилин, т. е. волнообразное.
Несмотря на существование специального инструментария (кюреток [28], хирургических ложек), более удобным и точным инструментом для удаления коры головного мозга является обыкновенная десертная ложка, остро заточенная с одной или с двух сторон. Кюретка капризничает в руке, а хирургическая ложка неудобна из-за своей длины.
Экстирпация – процедура крайне сложная на живом мозге, учитывая своеобразие рельефа, различную (и внезапно различную) плотность участков, зыбкость фактуры, когда инструмент то скользит, то «вязнет», то внезапно начинает «собирать» и «мять» субстанционально странную структуру живой коры, напоминающую по ощущению мягчайший сыр, то обветренный, то свежий.
При этом стоит помнить, что примерно 70–75 % коры, которую необходимо удалить, скрыто в очень тесных глубинах борозд.
А вот тут начинается самое неприятное, по сути лишающее процедуру всякого научного смысла и значения и переводящее любые ее результаты в разряд банального подлога.
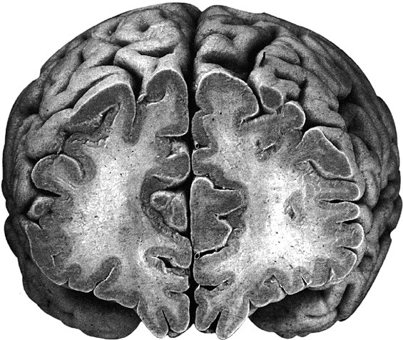
Давайте взглянем на коронарный срез через лобные доли мозга.
Мы увидим, что сложнорасположенные изгибы коры головного мозга, мягко говоря, неравновысотны, и что в петлях срезов любой из извилин находится substantia alba (белое вещество). Это то, что видно глазу при простом фронтальном срезе (Илл. 23a).
Отпрепаровка покажет, что снизу в кору вплетаются миллиарды волокон мозолистого тела (corpus callosum) – структуры сверхнежной и сверхсложной (Илл. 23b). Все это, естественно, при добросовестной экстирпации частично удаляется вместе с корой или фатально поражается.

Илл. 23a. Фронтальный срез мозга. Видны сложнорасположенные изгибы коры головного мозга, в петлях срезов любой из извилин находится substantia alba (белое вещество) (по Блинкову)

Илл. 23b. Волокна мозолистого тела (по Блинкову)
Иными словами, процедура «снятия» коры лобных долей оборачивается как тяжелейшими операционными травмами, которые сами по себе способны обеспечить то самое павловское «угнетение», так и необратимым разрушением еще нескольких отделов головного мозга. Отделить следствие поражения одной структуры от поражения других не представляется возможным, что обессмысливает экстирпацию и уводит ее из числа научных методов.