Электронный микроскоп, стр. 8

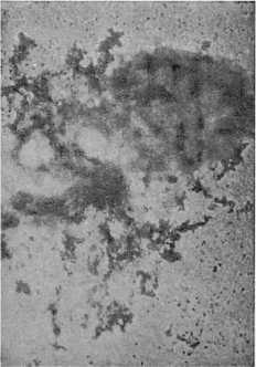
Распадение бактерии дизентерии под действием бактериофагов через 30 минут.
Может быть, бактериофаг — это не живое существо, а какое-то сложное химическое соединение, убивающее дизентерийных микробов?
Но тогда почему же под микроскопом мы не видим трупов убитых микробов? Куда же исчезают тела микробов, если это вещество их только убивает?
На деле же выходило так, что стоило только в культуру живых дизентерийных микробов влить несколько капель жидкости бактериофага, как через короткое время под микроскопом не удавалось найти ни живого, ни мертвого микроба.
Многие ученые были твердо убеждены в том, что бактериофаги — это не какое-нибудь химическое вещество, а действительно приносящие пользу человеку живые организмы, пожирающие микробов.
Вероятно, бактериофаги как-то иначе питались микробами, не проглатывая их? Не видно же в оптический микроскоп их было, наверное, потому, что они были гораздо меньших размеров, чем сам дизентерийный микроб.
Ученые считали, что размер этих полезных для человека живых организмов приблизительно такой же, как и у фильтрующихся вирусов.
Электронный микроскоп подтвердил догадку ученых о природе бактериофага. В поле зрения электронного микроскопа пожиратели микробов выглядят совсем маленькими круглыми шариками, — с тоненькими хвостиками.
Хвостик, видимо, помогает бактериофагу передвигаться по направлению к вредоносному дизентерийному микробу. Длина хвостика бактериофага немногим больше 0,0001 миллиметра, а тельце его еще меньше.
По сравнению с бактериофагами дизентерийный микроб выглядит громадиной.
В поле зрения электронного микроскопа ясно видно, как яростно атакуют крошечные бактериофаги этого зловредного гиганта. Быстро устремляются к микробу их хвостатые тельца. Одни из них уже жадно впились в тело бактерии и проникли внутрь. Другие осаждают ее со всех сторон, как стая гончих псов обкладывает большого злого зверя.
Бактериофаги, проникнув внутрь тела микроба, быстро вызывают его распад. Есть предположение, что бактериофаги как бы растворяют тело микроба выделяемыми ими особыми веществами — ферментами.
Когда бактериофаги уничтожат всех дизентерийных микробов, больной начинает поправляться, и вскоре наступает его полное выздоровление.
Электронный микроскоп будет применен для исследования многих других микробов и вирусов, вызывающих заболевания. Будут прослежены рост и развитие бактерий и вирусов. Исследователи своими глазами увидят, как питаются, размножаются и умирают бактерии. Только с помощью электронного микроскопа удастся точно изучить и внутреннее строение бактерий. Подробно будет изучено воздействие на микробы различных лекарственных средств и химических веществ.
Зная во всех подробностях строение и жизнь болезнетворных бактерий, ученым будет легче найти способы их быстрейшего уничтожения.
ДВАДЦАТЬ МИЛЛИОНОВ ЧЕЛОВЕЧЕСКИХ ЖИЗНЕЙ
Некоторые ошибочно думают, что грипп — быстро проходящее и легкое заболевание. Но это не так. В 1919–1920 годах эпидемия гриппа (испанки) охватила весь мир. Она пронеслась по земному шару, как смертоносный смерч, и унесла в могилу около двадцати миллионов человеческих жизней.
Это была тяжелая форма гриппа, вызванная чрезвычайно ядовитыми вирусами.
Изучение вирусов гриппа с помощью электронного микроскопа обнаружило, что они имеют форму круглых шариков.
Величина этих смертоносных шариков измерена в электронном микроскопе совершенно точно.
Диаметр шарика равен 77,6 миллимикрона, то-есть составляет 77,6 миллионной доли миллиметра.
На самом кончике острия швейной иголки может уместиться, тесно прижавшись друг к другу, около сотни таких шариков.

Вирус гриппа в электронном микроскопе (белая линия — масштаб одного микрона).
И эти ничтожные по размерам шарики унесли в могилу только за два года 20 миллионов человек.
В ослабленной форме вирусы гриппа и сейчас носятся по всему земному шару, вызывая время от времени эпидемии.
Если сейчас меньше умирают от гриппа и его осложнений, то это только потому, что наука научилась с ним бороться.
Ожесточенная борьба с вирусом гриппа не прекращается ни на одну минуту. Ученые-вирусологи изобретают всё новые и новые снаряды для «стрельбы» по зловредным шарикам гриппа, и скоро он будет окончательно побежден.
И в этом ученым окажет огромную помощь их сверхзоркий помощник — электронный микроскоп.
МЕЛЬЧАЙШИЕ ИЗ МАЛЫХ
Исследование вирусов в электронном микроскопе уже позволило установить их истинные формы и размеры. Оказалось, например, что вирусы отвратительной болезни — оспы, превращающей красивое молодое лицо в рябое, — вовсе не круглые, как они выглядели в оптическом микроскопе.

Элементарные тельца оспы в оптическом микроскопе.

Элементарные тельца оспы в электронном микроскопе.
Эти зловредные создания — многоугольной формы, слегка вытянутые в длину. Зная истинную форму и размеры вирусов, их стали легче обнаруживать.
Вирус, поражающий кур и других домашних птиц, оказался похожим на бактериофагов.
У некоторых бактериофагов на кончике хвостика находится небольшой нарост, по форме напоминающий пуговицу. По этому признаку их легко отличать от других микроорганизмов.
Некоторые вирусы в поле зрения электронного микроскопа оказались палочкообразными. Например, вирус мозаики табака, который был открыт знаменитым русским ученым Д. О. Ивановским и которого ему так и не удалось увидеть, имеет форму палочек. Длина этих палочек оказалась около 0,0003 миллиметра, а толщина — в двадцать пять раз меньше.
Неудивительно, что в оптический микроскоп их не видели и узнали о существовании этих вирусов только благодаря гениальной прозорливости русского ученого.

Вирусы мозаичной болезни табака. Увеличение — 20 000.
Вирусные болезни наносят большой ущерб сельскому хозяйству. Вот обширное картофельное поле. По ботве картофеля видно, что он болен. Листья скручены, морщинисты. С клубнями творится тоже что-то неладное, и многие из них уже гниют.
По соседству другое поле. Оно густо засеяно сахарной свеклой. И тут неблагополучно с ботвой. Листья у нее какие-то пестрые: зеленые, с желтоватыми пятнами. Пятна эти без зеленых зернышек (хлорофилла). Без хлорофилла растение не может правильно дышать и перерабатывать пищу, получаемую из воздуха. Это мешает свекле расти и заготовлять сахар.
Мозаичная болезнь наблюдается не только у табака, но и у хлопчатника, яблони, груши, малины, смородины, винограда.
Электронный микроскоп помогает ученым распознавать эти болезни. Изучая воздействие различных химических веществ на вирусы, ученые, вооруженные электронным микроскопом, находят средства борьбы со многими страшными болезнями, вызываемыми вирусами.
Когда стала известна величина вирусов, ученые начали сомневаться: живые они или нет.
Существа это или вещества?
Некоторые из вирусов настолько незначительны по своим размерам, что непонятно, как такие крохотные существа могут жить: питаться и размножаться.
Например, вирус болезни, носящей название «ящур», или вирус, вызывающий у червяка шелкопряда болезнь желтуху, едва-едва достигает величины 10 миллимикрон, то-есть 0,00001 миллиметра.