Журнал «Компьютерра» №43 от 22 ноября 2005 года, стр. 7
Представьте, что наступит день, когда ваша рассеянность станет все чаще бросаться в глаза окружающим. Невинные шутки над несколько раз повторенными вопросами сменятся тревогой о вашей способности найти дорогу домой, справиться с дверным замком, выключить газ. Еще позже забота о вас сменится усталостью близких… Окончательный диагноз, впрочем, можно будет поставить только после получения образцов мозговой ткани для гистологического исследования. Именно оно поможет обнаружить в мозгу группы деградированных нейронов, бляшки амилоидного белка и поставить окончательный диагноз - болезнь Альцгеймера.
Нарисованная здесь безрадостная перспектива, если ничего существенного в медицине не изменится, ожидает 15 процентов людей, доживших до 65 лет, а также 35 процентов 85-летних. Симптомы этой болезни известны с глубокой древности, но особенно широкое распространение она получила в современном мире. В постиндустриальном обществе доля пожилых людей, по всей видимости, станет расти и далее, и в ногу с этим будут шириться болезни старческого возраста. Впрочем, кого-то этот недуг поражает и в 40-50 лет (известен даже случай заболевания 28-летнего человека).
Причина болезни Альцгеймера - уменьшение содержания ацетилтрансферазы в мозговых клетках. Этот фермент синтезирует ацетилхолин, вещество, участвующее в передаче сигнала между нервными клетками. Наука постепенно подбирается к пониманию причин этой аномалии. Уже ясно, какие нарушения на клеточном уровне сопутствуют развитию болезни, а у мышей найдены содействующие ей гены. В надежде на то, что завтра успехи молекулярной биологии защитят нас от этой напасти, сегодня мы можем пить красное вино и … работать. Хотя болезни Альцгеймера подвержены все слои населения, известно, что вероятность ее наступления снижает интеллектуальная деятельность, связанная с обработкой информации. - Д.Ш.
Свершилось! Слушания по проблеме преподавания теории эволюции в штате Канзас завершены. Шестью голосами против четырех Совет по образованию этого штата ввел в школьную программу биологии изучение взгляда о «разумном плане» (intelligent design). Борьба так называемых научных креационистов за придание их взглядам академического имиджа закончилась победой по крайней мере в одном штате «флагмана демократии».
Но почему проигравшая сторона - эволюционисты - воспринимают такое решение как шаг к разрушению науки? Их обвиняют в стремлении заткнуть рот оппонентам - неужели они против возможности высказывать мнение для представителей всех точек зрения? Конечно, нет. Эволюционисты вовсе не выступают против проповеди веры. Проблема в том, что современный креационизм не имеет отношения к науке, но претендует на то, чтобы его изучали как научную теорию. Это проект библейских фундаменталистов, пытающихся преодолеть отделение школы от церкви, законодательно закрепленное в США и многих других странах.
Есть люди, уверенные, что если бы Бог счел, что им нужно знать об эволюции, он указал бы это в Завете, - им научные данные неинтересны. Есть и другие, которые берут общеизвестные факты и начинают манипулировать ими, чтобы подвести к утверждению об их соответствии тому же Завету (заодно пытаясь скомпрометировать тех, кто трактует эти факты иначе). Именно эти вторые шаг за шагом и захватывают новые позиции в общественном сознании.
Наука - способ интерпретации фактов. Никто не может предписывать, к чему должен привести научный поиск, - он пойдет туда, куда его поведет действительность. Но люди, которые утверждают, что вся истина содержится в Священном писании, хотят, чтобы их тоже считали учеными (остается лишь поражаться авторитету научного знания!). Увы, активность библейских фундаменталистов приводит не только к присвоению ими части авторитета науки. Им удается деформировать если не саму науку, то, по крайней мере, ее восприятие в обществе. Вы встречались с утверждениями, что целесообразность и происхождение организмов объясняется двумя теориями: дарвиновской и креационистской? А ведь это обман! И креационизм не наука, и научных теорий не одна и не две, а дарвинизм - вообще теория середины позапрошлого века (с тех пор биология не стояла на месте). Увы, ложная альтернатива «Дарвин или Бог», насаждаемая фундаменталистами, оказывается простым решением и для СМИ, и для далеких от биологии людей. Борьба «с Дарвином» оборачивается борьбой не с теорией эволюции, а со строгостью и честностью мышления.
Лиха беда начало. В штатах Миннесота, Нью-Мексико, Огайо и Пенсильвания требуют, чтобы в школах сообщали о креационистской критике теории эволюции. Речь, конечно, идет не об изучении теоретических проблем и научных дискуссий (развивающих ум и избавляющих от зашоренности), а лишь о пропаганде того же самого якобы научного подхода.
Научную истину не ищут в священных текстах. Религиозную истину не надо доказывать: она дана в Откровении. Что стало бы с верой, если бы существовала возможность «научно» (фактами да экспериментами) доказать бытие Божие? Это не мешает пропагандистскому проекту креационистов побеждать в судах и формировать мнение обывателей (причем далеко не только в США, не меньшая активность наблюдается и на просторах бывшего СССР). - Д.Ш.

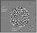
Мы привыкли думать, что душевнобольные - это те, чья психика хуже справляется с разнообразными задачами, которые ставит перед нами жизнь. Стивен Дакин (Steven Dakin) и другие сотрудники Университетского колледжа Лондона обнаружили необычный психологический феномен. Всем известны различные «коварные» картинки, провоцирующие неверные суждения, основанные на оптических (точнее, психических, связанный с обработкой зрительной информации) иллюзиях. Английские психологи предложили задание, с которым не могут справиться здоровые люди, но посильное для больных шизофренией. Нужно из маленьких кружочков, расположенных на периферии, выбрать такой же по оптическому контрасту кружочек, как и центральный, находящийся внутри большого круга (см. рис.). Возможно, шизофреники легче справляются с этой задачей, потому что их мозг не сравнивает кружок-модель с большим кругом. В таком случае это задание проверяет, как в психике испытуемого работает блок контекстной обработки информации.
Так ли важно распознавание иллюзий для психического здоровья? Тут стоит посмотреть на активность нашей психики с точки зрения ее предназначения. Вся деятельность нашего мозга служит для приспособления, адаптации к меняющейся экологической и социальной среде. Успешно адаптирующегося человека можно считать здоровым, даже если его психика работает иначе, чем у большинства сограждан. Если же он «выпадает» из окружающего мира и ему при этом плохо, надо что-то менять.
Для нас одно и то же действие может быть нейтральным, оскорбительным или дружеским в зависимости от контекста отношений с тем человеком, от которого оно исходит. Шизофреники не могут верно истолковать контекст, обижаются или пугаются, страдают от этого сами и доставляют страдания другим людям. А вы говорите - пятнистые кружочки… - Д.Ш.
Галактион Андреев
[ [email protected]]
Тимофей Бахвалов
[ [email protected]]
Артем Захаров
[ [email protected]]
Денис Зенкин
[ [email protected]]
Виктор Каплунов
[ [email protected]]
Бёрд Киви
[ [email protected]]
Денис Коновальчик
[ [email protected]]
Алексей Левин
[ [email protected]]
Дмитрий Шабанов
[ [email protected]]
Антон Шириков
[ [email protected]]
Микрофишки